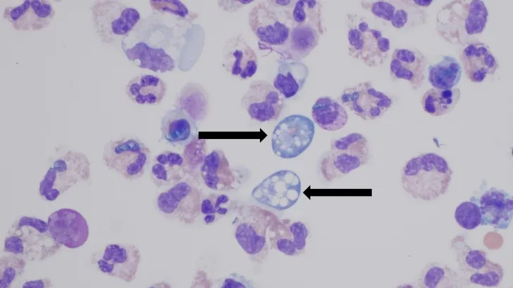
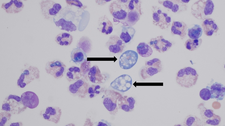
뇌척수액 내 ‘파울러자유아메바’(Naegleria fowleri)의 모습. 미국 질병통제예방센터(CDC) 홈페이지 캡처
미국의 한 여성이 끓이지 않은 수돗물로 코를 헹군 뒤 뇌 감염으로 사망했다.
4일(현지시간) USA투데이 등 외신은 미 질병통제예방센터(CDC)가 지난달 29일 발표한 보고서를 인용해 71세 여성이 텍사스의 한 캠핑장에서 캠핑카 탱크에 저장된 수돗물로 코(부비강)를 세척하다 ‘뇌를 파먹는 아메바’로 알려진 ‘파울러자유아메바’(Naegleria fowleri)에 감염돼 사망했다고 보도했다.
보고서에 따르면 건강했던 이 여성은 코 세척 장치에 끓이지 않은 수돗물을 담아 사용한 후 4일 만에 발열, 두통, 의식 변화 등의 증상을 보였다. 이후 원발성 아메바성 수막뇌염(PAM) 감염이 의심돼 치료받았으나 증상이 나타난 지 8일 만에 사망했다.
CDC는 조사를 통해 여성의 뇌척수액에서 파울러자유아메바를 발견했다고 밝혔다. 파울러자유아메바는 강이나 호수, 온천에 서식하는 단세포 생물이다.
과학 전문 매체 ‘사이언스얼러트’에 따르면 파울러자유아메바는 코를 통해 뇌에 도달하면 조직을 파괴하고 염증을 유발한다.
감염된 대부분의 사람은 증상이 시작된 후 1~18일 이내에 사망한다. 두통, 발열, 메스꺼움, 구토 증상 등이 나타나고 균형 감각을 상실하거나 환각 증상을 겪을 수도 있다.
보고서에 따르면 이 여성은 캠핑 중 강이나 호수에 노출된 적은 없으나 발병 전 나흘 동안 캠핑카에서 나온 물을 사용해 여러 차례 코를 세척한 것으로 전해졌다.
CDC는 감염을 피하기 위해서는 강이나 호수에 들어갈 때 코를 막고, 온천에서는 머리를 물 밖에 내놓고 있으라고 조언했다. 또한 코를 헹굴 때는 증류수나 끓인 수돗물을 사용할 것을 권장했다.
Copyright ⓒ 서울신문 All rights reserved. 무단 전재-재배포, AI 학습 및 활용 금지
































