英 30대 남성, 재채기 참았다가 기도 파열
“재채기 내뱉을 때보다 압력 20배 높아져”
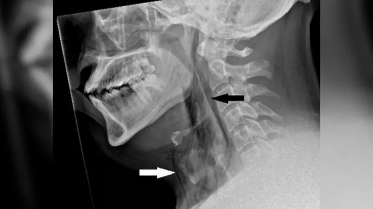
재채기를 참은 한 영국 남성이 기도가 파열돼 목 피부 아래에 공기주머니가 갇힌 것이 확인됐다. 영국 의학 저널(British Medical Journal)
재채기가 나오려고 할 때 입과 코를 막고 참으려는 행위는 기도나 고막의 파열을 초래하는 등 위험한 행동이라는 경고가 나왔다.
21일 미국 과학 전문 매체 라이브사이언스(LiceScience)에는 재채기를 참았다가 기도가 파열된 남성의 사례가 소개됐다.
이에 따르면 영국 30대 남성 A씨는 목이 부어 움직이기 힘든 상태로 던디 나인웰스 병원 응급실을 찾았다. 그는 심한 통증을 호소했다.
A씨는 운전 중 꽃가루 알레르기 증상으로 인해 재채기가 나오려 하자 코를 쥐고 입을 다물며 재채기를 참으려 했다. 하지만 그 상태로 재채기를 하게 됐고 통증이 발생해 응급실을 찾은 것이다.
그는 호흡과 삼키기, 말하는 것에는 전혀 문제가 없었다. 의료진이 엑스레이(X-ray)를 촬영한 결과 피부 아래 가장 깊은 조직층 아래에 공기가 갇히는 질환인 폐기종의 징후를 발견했다.
CT 스캔 결과 A씨 목의 세번째와 네번째 뼈 사이에 찢어짐이 생겨 기도에서 공기가 빠져나와 목 조직과 폐 사이 공간으로 들어간 것으로 나타났다. 기도에 생긴 구멍의 크기는 지름 2㎜였다.
이에 대해 의료진은 “코를 막고 입을 다문 채 재채기를 했을 때 기관지에 압력이 급격히 높아져 찢어짐이 생겼을 가능성이 높다”고 진단했다.
의료진은 “재채기를 할 때 입과 코를 막으면 ‘에취’ 하며 재채기를 내뱉을 때보다 상기도의 압력이 20배 이상 높아질 수 있다”고 설명했다.
재채기 자료 이미지. 아이클릭아트
의료진은 파열 부위를 복구하기 위한 수술은 필요하지 않다고 판단했다. 대신 이틀 동안 병원에서 환자의 산소 수치와 기타 활력 징후를 주의 깊게 관찰했다. 첫날에는 경구 음식을 제공하지 않았다. 이후 환자는 진통제와 꽃가루 알레르기 약을 처방 받고, 2주간 격렬한 활동을 피하라는 의사의 지시를 받고 퇴원했다.
5주 후 검진에서 A씨의 목을 CT 촬영한 결과 찢어진 부분이 완전히 아문 것을 확인했다.
해당 사례를 ‘영국 의학 저널(British Medical Journal)’에 보고한 라사즈 미시로브스 박사는 “재채기는 바이러스와 같은 자극 물질을 몸 밖으로 내보내는 중요한 기능으로, 억지로 참아서는 안 된다”고 강조했다.
미시로브스 박사는 “재채기를 할 땐 얼굴을 손이나 팔꿈치 안쪽으로 가려서 바이러스 같은 자극 물질이 주변 사람에게 퍼지지 않도록 해야 한다”고 말했다.
그에 따르면 코와 입을 막지 않고 재채기를 억제할 수 있는 다른 방법들도 있다. 미시로브스 박사는 개인적으로 재채기가 나올 때 윗입술 바로 아래를 엄지로 몇 초간 누르는 방법을 사용한다고 전했다. 비강 통로를 막지 않고 재채기를 멈추게 하는 방법이다.
재채기 자료 이미지. 아이클릭아트
재채기를 참으려다 그 압력이 내부로 전달되며 위험에 처한 사례는 종종 보고되고 있다. 고막이 파열될 수도 있고, 매운 드문 사례지만 얼굴에 압력이 가해지면서 뇌동맥류가 생길 수도 있다.
또한 감기나 독감으로 인해 나오는 재채기를 참을 경우에는 박테리아가 감염된 공기를 중이로 밀어넣어 중이염에 걸릴 수도 있으며, 횡경막에 압력을 가하면서 기흉이 올 수도 있다고 전문가는 경고했다.
Copyright ⓒ 서울신문 All rights reserved. 무단 전재-재배포, AI 학습 및 활용 금지































