50년 전 사체 추출 호르몬 주입한 美 58세 여성
크로이츠펠트 야곱병으로 사망
한 의료진이 주사기를 점검하고 있다. 기사와 직접적 관계 없음. 서울신문DB
어린시절 사체서 빼낸 성장 호르몬 주사를 맞은 여성이 약 50년 뒤 해당 약물로 인해 발생하는 희귀병으로 사망했다.
미네소타 대학교 감염병 연구 및 정책 센터(CIDRAP)는 지난 16일(현지시간) 프리온 질환으로 사망한 58세 여성 A씨의 사례를 소개했다.
어린시절 사체 추출 성장 호르몬(chGH)을 맞았던 A씨는 수십년 동안은 신경학적 증상을 보이지 않다가 58세 때 몸에 떨림 증세가 나타나고 걸을 때 균형을 잃기 시작했다. 그는 몇 주 동안 요실금, 언어 장애, 우울증, 호흡 곤란 증세를 겪다 병원에 입원한 뒤 혼수상태에 빠져 사망했다.
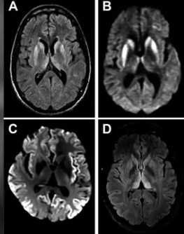
MRI(자기공명영상) 검사 결과 뇌 손상이 발견됐고 추가 검사에서 프리온 단백질 양성으로 밝혀졌다. 프리온은 세포를 둘러싼 세포막에 있으며 세포 통신 및 상호 작용에 관여하는 분자다. 프리온 단백질이 뇌에 쌓이면 주변 단백질이 뒤틀려 신경세포를 손상할 수 있다.
이후 부검 결과 A씨는 변종 프리온에 의해 발생하는 희귀한 질병인 의인성 크로이츠펠트-야콥병(iCJD)을 확진 받았다. iCJD는 뇌에 구멍이 뚫려 뇌 기능을 잃게 되는 퇴행성 신경성 질환으로, 치료법은 없으며 발병하면 반드시 사망하는 치명적인 질환이다.
크로이츠펠트-야콥병 환자의 뇌 MRI 영상. Practical Neurology 캡처
A씨는 7세 때부터 ‘범뇌하수체기능저하증(panpanhypopituitarism)’ 치료를 위해 9년 동안 사체 추출 성장 호르몬을 투여 받은 것으로 드러났다. 범뇌하수체기능저하증은 호르몬을 만드는 뇌하수체의 기능이 떨어져 성장과 성적 발달에 관여하는 호르몬 등 다양한 호르몬 결핍이 생기는 병이다.
A씨의 사례를 보고한 콜로라도 대학 연구진에 따르면 국립 뇌하수체 호르몬 프로그램(NHPP)은 1960년대부터 1980년대까지 약 7700명의 미국 환자들에게 성장 부전 등 치료를 위해 이 약물을 투여했다.
당시에는 범뇌하수체기능저하증 환자에게 사체에서 추출한 호르몬을 주사하는 게 흔한 관행이었으며, 난소에서 난자를 생산하지 않는 여성에게도 이런 호르몬을 투여한 것으로 전해졌다.
그러다 1985년 미국에서 처음으로 chGH 관련 iCJD 발병이 보고되자 chGH 생산과 투여가 즉시 중단됐다.
이후 사체 추출 성장 호르몬은 유전공학으로 생산된 합성 대체 호르몬으로 대체됐지만, 이전 투여자 중 일부에서 긴 잠복기를 가졌기 때문에 iCJD 발병은 지속됐다.
병원에 입원 중인 환자 이미지. 아이클릭아트
현재까지 미국에서 사체의 장기에서 채취한 성장 호르몬으로 치료를 받은 환자 중 0.4%가 iCJD에 걸렸다.
연구진은 chGH 치료로 인한 iCJD 발병이 지난 몇 년 동안 둔화됐지만 새로운 사례가 나타날 가능성이 있다고 보고 있다. 그러면서 “과거 chGH에 노출된 환자의 경우에는 iCJD 감별 진단을 꼭 받아야 한다”고 강조했다.
Copyright ⓒ 서울신문 All rights reserved. 무단 전재-재배포, AI 학습 및 활용 금지































